二八杠

在快节拍确当下
许多东谈主吃饭齐像在“战斗
三口并作两口
一顿饭十分钟处罚
好意思其名曰“高效”
急诊室里
每年总有那么几个
“吃出来”的急症患者
他们常常不是因为
吃了什么八珍玉食
而是因为舍不得扔掉那一口剩菜
又或者,吃得太急太猛
63岁的张叔
即是其中一位
他怎样也想不到
两个复热的叉烧包
竟让他半只脚置身了地府
聚餐打包的叉烧包
差点要了他的命
张叔是山西东谈主,永久在深圳居住。不久前,亲戚来深省亲,一家东谈主成心去吃了顿广式早茶。中午点的那笼叉烧包没吃完,他舍不得扔,打包带回了家。
起头,一切看似夙昔。吃完没多久,他跑到茅厕吐了一次,其时只以为是肠胃不惬意,吐完就缓了过来,没太当回事。到了晚上7点多,他把打包的叉烧包热了热,就着粥吃了两个。
可没过多久,一阵剧烈的吐逆感再次涌上来。这一次,吐完的蓦然,他的胸口像被炸开了相似,剧痛蓦然席卷而来。
“不是普通的胃疼,是所有胸口、肚子齐痛,半边背连带着腿齐随着痛,痛得我平直瘫在地上,起齐起不来。”张叔回忆谈。
老伴吓得飞速拨打了120。当晚7点多,他被热切送到就近病院。胸片效力很快流露:左侧胸腔大批积液。止痛针打了,积液引流作念了,但痛苦涓滴莫得止住。更灾祸的是,张叔的景象越来越不安靖,眼看就要堕入休克。
凌晨2点,他被热切转送到北京大学深圳病院。此时,他还不知谈,我方的食谈,也曾在剧烈的吐逆中裂开了所有长达10公分的口子,胃里的食品和胃酸,正门庭暴虐地漏进胸腔里。
多问一句话
从死神手里抢回一条命
转院到病院时,距离张叔发病已过程去了7个小时。值班大夫接诊后,初步查出了左侧胸腔积液、剧烈胸痛和轮回不稳,但具体病因仍是个谜。
第二天早上8点的晨会接班,胸外科主任刘继先听完病例陈诉,利弊地捕捉到了一个细节。他多问了一句:“这个病东谈主,发病前有莫得吐逆?”
“有!吃完包子之后吐了两次,吐完就开动痛了。”值班大夫的恢复,让刘继先蓦然绷紧了神经。
“飞速安排口服钡餐,高度怀疑是自觉性食谈离散!”
很快,口服钡餐的效力印证了他的判断:钡剂从食谈下段的裂口处大批漏出,平直过问了左侧胸腔。

自觉性食管离散,也称为Boerhaave概括征,是胸外科最不吉的急症之一,发病急、发达快、死字率极高。而此时,距离张叔发病还不到24小时——这是救治的黄金窗口期。
“这个病,最枢纽的从来齐不是手术,而是实时确诊。只好会诊明确了,后续的调理就有场地了。”刘继先主任表示,一朝跨越24小时,食谈管壁会严重水肿、沉沦,变得像泡发的棉花套相似,根柢无法缝合修补。
吐逆后胸痛
千万别当胃病
在东谈主体的消化系统里,食谈是一条一语气咽喉与胃的肌性管谈,平时处于闭合景象,管壁很薄。
刘继先主任用最浅近的话表示了这场急症的发病逻辑:东谈主在剧烈吐逆时,会下签订地憋气,声门牢牢闭合,威斯人腹腔压力蓦然飙升。胃里的容物被高压推着往上冲,可上头的出口堵着,通盘压力齐归拢在食谈管壁上。
“就像吹气球,你一直往里打气,最薄弱的地方总会先爆。”
刘继先说,淌若患者自己食谈黏膜就有薄弱之处,高压之下,食谈便会蓦然全层离散。
离散后的场景是横祸性的。胃里的食品、强腐蚀性的胃酸和消化液,会顺着裂口平直漏进密闭的胸腔,在短时间内激勉严重的胸腔感染,发达为脓胸、脓毒性休克。哪怕在医疗手艺老练的今天,这种情况的死字率依然跨越50%。
更可怕的是它极高的误诊率。临床上,自觉性食谈离散的首诊误诊率高达70%-80%。因为食谈位置荫藏,离散后的剧烈胸痛、腹痛,与急性心梗、胃病、急腹症的症状太过相似。
大多数患者发病时,只说我方胸口痛、肚子痛,不会故预见起我方吐逆过,而首诊大夫也容易忽略这个枢纽细节,从而错过最好救治时机。
多学科联动
10公区别口被到手修补
面临这一不吉急症,北京大学深圳病院第一时间启动急危重症绿色通谈,由胸外科主任刘继先长入指令,迅速归拢多学科主干力量,制定抢救决策。
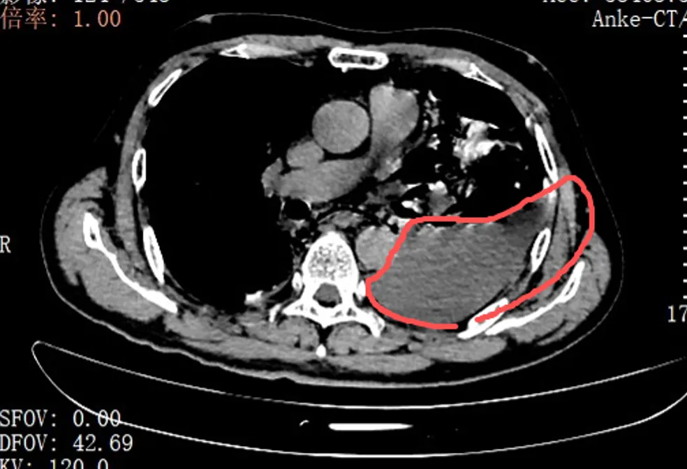
本日,手术团队为张叔实践了胸腔镜下食谈修补微创手术。翻开胸腔的那一刻,在场的医护东谈主员齐呆住了:所有左侧胸腔里,全是叉烧包的菜叶子、食品残渣,混着脓液和消化液,到处齐是。

红圈区域是食品残渣、消化液破入食管
手术团队拿着迷惑器,少许点清算、冲洗,花了很万古期才将胸腔里的每少许食品残渣齐清干净。随后,团队找到了食谈下段那谈长达10公分的裂口,用可招揽线留意翼翼地完成了分层修补。
术后,张叔在ICU袭取了24小时的密切监护。在病院渡过一所有春节后,他的食谈修补处愈合得荒谬好。大夫查房时,张叔正坐在病床上吃包子,一顿能吃四个。近日,他已到手出院。
刘继先主任顶住他:“吃包子不错,一定要多嚼几口,配着汤水逐渐吃,千万别再干噎着了,我给你缝得再恰当,也经不住你这样用劲噎。”张叔不好意念念地笑了,示意以后吃东西,再也不敢狼吞虎咽了。
大夫领导
这两个信号
千万别不当回事
在高速运转的生涯里,狼吞虎咽、暴饮暴食、酒后催吐这些看似夙昔的当作,背后齐藏着风险。
大多数东谈主齐知谈,吃东西呛到气管里会致命,却不知谈,剧烈吐逆也会把食谈吐破。吐逆后出现剧烈胸痛,许多东谈主第一响应齐是忍忍,或者去挂消化科、心内科,忽略了要去胸外科排查食谈的问题。
大夫在此领导
日常进食一定要细嚼慢咽,幸免干噎、暴饮暴食,吐逆时尽量不要强行憋气,减少食谈承受的蓦然高压。
只好是剧烈吐逆后,出现了执续不缓解的剧烈胸痛、腹痛,要尽快去病院急诊,何况主动告诉大夫“我吐逆过”。这是排查自觉性食谈离散最枢纽的痕迹,粗略能在枢纽时刻,救我方一命。
来源:南边齐市报 深圳大件事 北京大学深圳病院 光明网 威斯人app
ag官方网站登录入口
